こんばんは
京都市伏見区桃山南口の仁科歯科医院の歯の疑問にお答えする歯てな?コラムです
スキッパーそれは歯と歯の間が開いている
黒く見えるので見た目が悪い、
舌が歯の間に入って話しづらい、
物がよく詰まる
など様々なことが起こりますよね
これでは口元に手を当てたり、爪楊枝を使ったりしなければなりませんね
原因
1、歯周病の進行によるもの
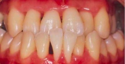
歯周病が進行すると歯を支える骨が下がってきます
それに伴い歯茎も下がってきます
そりゃそうですよね
裏打ちの骨が下がるんですものね
つまりこんな感じです
このような感じで歯周病は進行します
それに伴い前歯が開いてくるんです
フレアーアウトと言います
これは奥歯がしっかりと支えられないために前歯の突き上げで歯が開いてくるんです
この上の重度の場合は
通常
抜歯だと思います
もしくは延命、
これぐらいの場合なら
1、樹脂で詰める
樹脂にもいろいろあるんです
①ハイブリッドセラミックスという樹脂
色調変化が通常の樹脂よりも長持ちします
セラミックのフィラーがたくさん含有してますので磨耗しにくいんです
②樹脂ーコンポジットレジン
色調の変化が2年ぐらいで変色するかもしれません
もしくは歯周病が重度でコントロールされていなければもっと早く色が変わります
なぜならば出血が知らず知らずの間に出ています
これが着色の原因になってます
また樹脂が外れます
樹脂は基本接着です
出血は接着の阻害因子ですから
2、被せる
硬質レジンという樹脂ー金属の裏打ちのあるもの、樹脂だけのもの
これも上で書いた樹脂コンポジットレジンと同様です
耐摩耗性、色調変化が2年ぐらいで起きてきますね
セラミック系ーオールセラミック、メタルボンドー金属の裏打ちのあるもの
色調変化がない、打撃系の衝撃に弱い
つまりバーンと前歯を打つと壊れる可能性があります
ラミネートベニア
これが被せに入るかどうかは疑問ですが
簡単に言いますと付け爪みたいなものです
当医院では行っていませんが
2、舌を出す癖がある
これはタングスラストと言います
舌を出したり感だりしていると前歯が開きます
これは通常矯正歯科での治療になると思います
3、子供の乳歯から永久歯への生え変わりの時
これは通常あります
なぜならば乳歯より永久歯の方が大きいのです
乳歯は頭ーつまり歯冠部より根っこの方が大きく開いています
根っこが永久歯の頭を包み込むような感じで永久歯の萌出を待っています
そして永久歯が上に上がってくると根っこが吸収してグラグラしてきます
このため少しスキッパ状態でないと永久歯が重なってしまいます
まとめ
症状、時期に応じてそれが正常なのか?また様々な治療法があります
これをどうぞ参考になさってみてはいかがでしょうか?