憧れの白い歯にする!

  • このエントリーをはてなブックマークに追加
  • LINEで送る
Pocket

口元に手を当てている、唇で歯が見えないようにして話している、うつむき加減で相手と話す

など歯が黄色くなって、もしくはもともと歯が茶色くて歯を白くしたいのだけど費用が高くて手が出せない

もっと気軽に歯のことを考えられたらなあ〜

僕もそう思います、皆んながもっと気楽に白い歯について思ってもらえたらいいなあと

白い歯ーセラミック、ホワイトニングはなぜ高価なの?

昔オリンピックを見ていて外人の歯が白い!

なぜ日本人のは白い歯ではなく少し黄色い歯なのか?、なんで銀歯がチラリ見えるの?

多分高価なものということが最も大きい理由ではないでしょうか?

そうですよね!僕も歯科医でありながら高価だなあそう思ってたんですよ

これは歯を作るテクニシャンがかなりの労力をかけています

半ばねれないぐらいに陶材を盛り、焼き、盛り、焼きの繰り返しで色調を再現してるからなのです

何かないものかなあ

この思いを胸に過ごしていると

ある一人の歯を作る技工所さんの社長さんとの出会いが環境を一変しました

新型CADCAMを導入されたこの技工所さんは海外輸出もされている大きなセラミック専門の会社さんでした

この社長さんは僕の思いを話すと快くオッケーしてくれました

この時期を同じくしてさらなる出会いとアドバイスがホワイトニングも進化しました

この動画を御覧ください

1、CAD/CAMを利用したセラミックージルコニアクラウン

2、仁科式ホワイトニング

この二つである程度のケースに対応できるようになったのです

では仁科歯科医院のケースを見てください!

IMG_0565 IMG_0566 名称未設定 7.001 

これがCADCAMのジルコニアの被せ物です

次に仁科式ホワイトニングのケースとアンケートをご覧ください

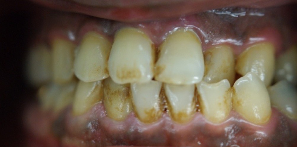
名称未設定 7.002  術前

名称未設定 7.003術後

名称未設定 7.004患者さんのアンケートの一つです

 

もちろん歯を白く維持するためにはメンテが必須です

せっかく白くしても毎日の食べ物などで着色してしまうためです

自宅ではこの仁科式ホワイトニングとともに僕が使用して最も効果があった歯磨き粉を併用してもらっています

ブリリアントモアと仁科式ホワイトニングは最も良い組み合わせなのです

スクリーンショット 2015-10-09 23.42.24

最後にもう一つ定期管理ですーこの期間は個人によって異なります

 

 

  • このエントリーをはてなブックマークに追加
  • LINEで送る

SNSでもご購読できます。